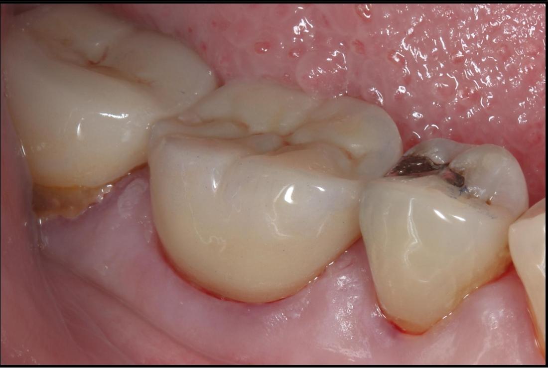
Large amalgam fillings very often lead to the fracturing of teeth over time. This tooth had a large amalgam filling which had begun to leak, allowing bacteria to enter and cause decay. It also had a fractured cusp and several other developing fractures. If left untreated, further breakdown would have lead to toothache and possibly the need for extraction. Here a crown was placed, giving it a new hard wearing outer shell that will prolong the life of this tooth.
