Mount Waverley Smiles Logo

Maryland Bridge

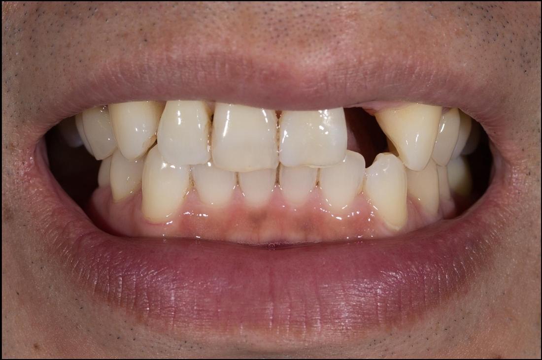
A missing tooth replaced with a Maryland bridge. In the right situation, this can be a long lasting, conservative option to replace a missing tooth without the need to drill. It is bonded securely to the adjacent tooth with a strong resin.

Related Services:

Crowns and Bridges
Are You Looking for Quality Dentistry in Mount Waverley, VIC?
Disclaimer: All surgical or invasive procedures carry risks. Before proceeding, you should seek a second opinion from an appropriately qualified health practitioner. The information throughout this site is not intended to be taken as medical advice.
Any surgical or invasive procedure carries risks. Before proceeding, you should seek a second opinion from an appropriately qualified health practitioner.