Mount Waverley Smiles Logo

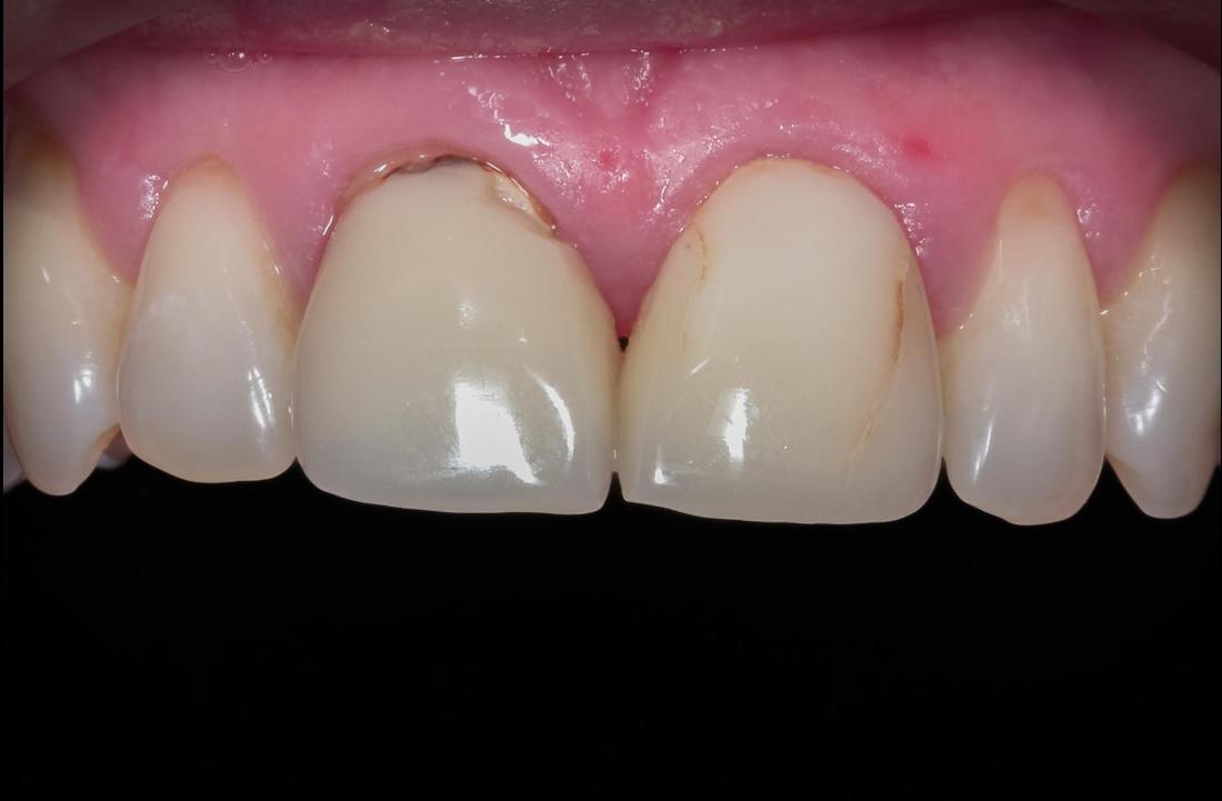
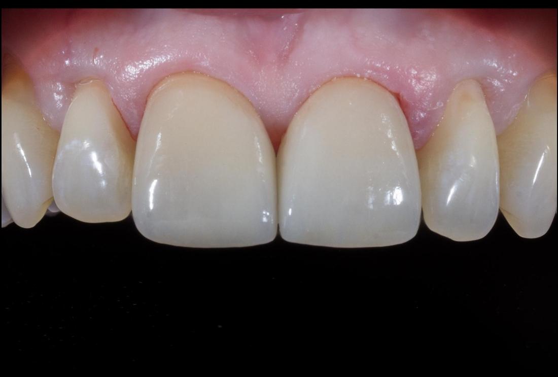
Two Anterior Crowns

Two old crowns had served their purpose well for many years. As with most things, they started to break down and were in need of replacement. Replaced with two hand crafted, layered emax crowns for a perfect combination of strength and aesthetics.

Related Services:

Crowns and Bridges
Ready to book an appointment?
Disclaimer: All surgical or invasive procedures carry risks. Before proceeding, you should seek a second opinion from an appropriately qualified health practitioner. The information throughout this site is not intended to be taken as medical advice.
Any surgical or invasive procedure carries risks. Before proceeding, you should seek a second opinion from an appropriately qualified health practitioner.