Mount Waverley Smiles Logo

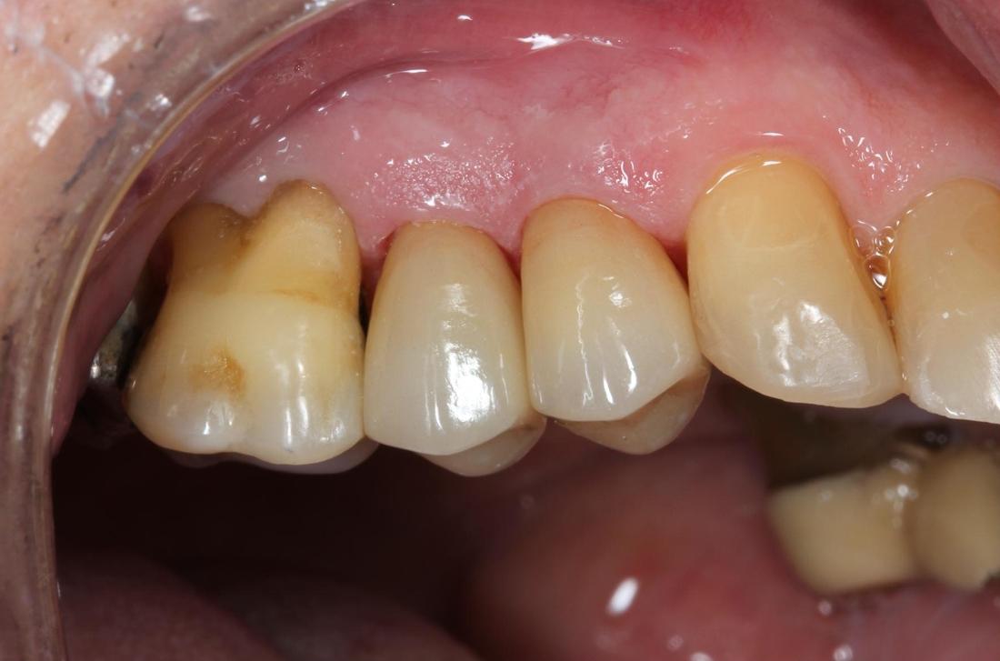
Two Posterior Crowns

Not only do crowns help protect teeth against fracture, they blend in naturally to match the surrounding teeth. Function and aesthetics restored.

Related Services:

Crowns and Bridges
Are You Looking for Quality Dentistry in Mount Waverley, VIC?
Any surgical or invasive procedure carries risks, and we recommend seeking a second opinion from an appropriately qualified health practitioner before proceeding.