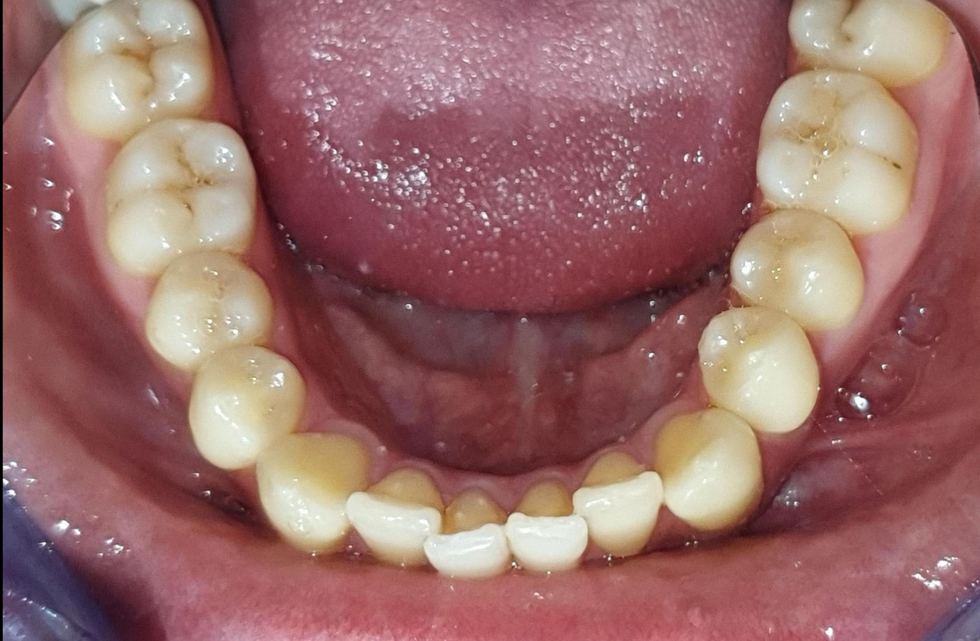
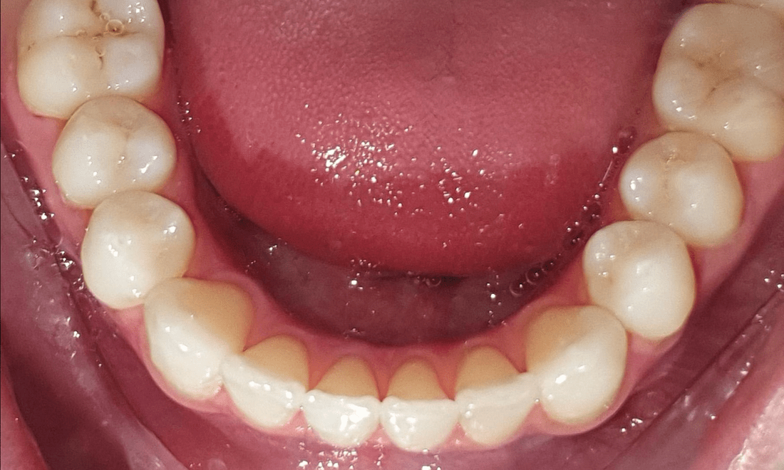
This patient wanted straight teeth and to enjoy an aesthetically pleasing smile. After careful evaluation, the dentist discussed Invisalign with the patient.
Invisalign in Mount Waverley, VIC, are clear plastic trays that help to correct spacing issues and crooked teeth. They are a discreet alternative to braces.
Are You Ready to Contact a Mount Waverley Dentist?
If you're considering Invisalign or would like information about our cosmetic dentistry options, we encourage your call.
