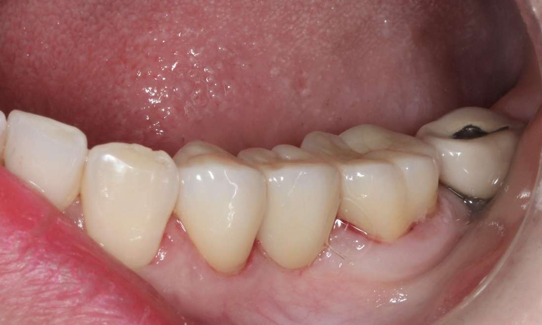
A patient came to our Mount Waverley clinic with a chipped porcelain fused to metal crown. After a detailed assessment, we recommended replacing it with a new zirconia bridge. The procedure was carried out smoothly, and the patient left with a fully restored and aesthetically pleasing smile. The zirconia bridge not only offers enhanced durability but also blends seamlessly with the natural teeth.
