If you have a missing tooth or teeth, you may be evaluating your options, which we strongly encourage. A full smile, after all, may contribute to better oral health.
After evaluating the choices out there, you may be leaning toward a dental bridge. We think this is an excellent prosthetic for most patients.
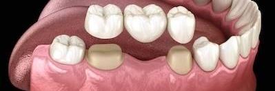
What Is a Dental Bridge?
A dental bridge is one or two restoring teeth situated between dental crowns. Each of these crowns tops the tooth on either side of your smile gap. This fixed solution allows the restoring teeth to fill the space and give you a full smile.
If you’re considering a dental bridge, your dentist evaluates you to make sure this choice will work for your needs. Considerations include the health of the teeth we mean to cap and the number and location of your missing teeth. A dental bridge is best when one or two teeth are missing in adjoining locations.
Why a Dental Bridge in Mount Waverley Is an Excellent Option
Because a dental bridge is fixed, you never have to worry about it slipping or loosening. It can also keep your bite in line by preventing shifting teeth, often resulting from tooth loss.
A full smile with your new bridge also restores your bite force and allows you to diversify your diet. And a full set of teeth may encourage you to laugh more and feel confident about your smile.
Further, a dental bridge is also easy to care for—we recommend a small cleaning brush and floss threader to keep the prosthetic clean and debris away from the gumline.
Are You Ready to Restore Your Smile?
If you have questions about tooth replacement, including the dental bridge, or if you would like to arrange a consultation, we welcome you to reach out to a member of our helpful dental staff to get started.
